담석 증상 일상생활에 불편을 줄 수 있을 만큼 계속 놔두면 안 되는 질병 중 하나인데요. 물론 무증상으로 지나가는 경우도 있으나, 다른 합병증으로도 이어질 수 있으니 담석 증상 오늘 잘 알아두시고 잘 대처하시는 것이 좋겠습니다.




담석
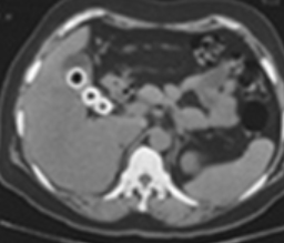
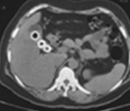
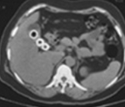
담석은 담낭이나 담도 내에서 형성되는 고체 물질입니다. 대부분 담석은 콜레스테롤, 담즙산, 또는 양 세균성 담석으로 분류됩니다.
👉담낭에 문제가 생기면 이 증상이 나타나는데, 구체적인 증상은?👈
담석 종류
1. 콜레스테롤 담석
콜레스테롤이 담낭 내에서 과도하게 농축되어 콜레스테롤 결정이 형성되는 경우입니다. 콜레스테롤 담석은 주로 혈중 콜레스테롤 수치가 높은 사람들에게서 발생합니다.
2. 담즙산 담석
담즙산이 과도하게 농축되어 담낭 내에서 결정을 형성하는 경우입니다. 담즙산 담석은 일반적으로 담낭에서 담즙의 pH가 증가하여 발생할 수 있습니다.
3. 양 세균성 담석
담도 내에서 세균이 성장하여 담석을 형성하는 경우입니다. 이는 담도 내에 염증이나 감염이 있는 경우에 발생할 수 있습니다.
담석은 보통은 작고 작은 결정으로 시작해 담도를 차단할 수 있습니다. 이로 인해 복통, 구토, 설사 등의 증상이 발생할 수 있습니다. 일부 경우에는 담석이 담도를 차단하여 심각한 감염을 유발할 수도 있습니다.
담석 증상에 대해서 알아보도록 하겠습니다.




담석 증상
담석 증상 1. 복통
가장 흔한 담석 증상 중 하나로, 담석으로 인한 급성 복통은 보통 상복부에서 시작하여 오른쪽 상복부로 이동하며, 상반신의 어디든지 느껴질 수 있습니다. 이 복통은 일반적으로 갑작스럽고 심하며, 식사나 운동 후에 더 심해질 수 있습니다.
담석 증상 2. 구토와 설사
담석이 담도를 차단하면 구토와 설사가 발생할 수 있습니다. 특히 심한 복통과 함께 나타날 수 있습니다.
담석 증상 3. 발열과 오한
담석으로 인한 감염이나 염증이 있을 경우 발열과 오한이 발생할 수 있습니다.
담석 증상 4. 미열
발열이 있는 경우에 담석으로 인해 감염의 가능성이 있습니다.




담석 증상 5. 붓기
담석으로 인해 담도가 염증이나 차단으로 인해 확장될 경우 주변 조직이 붓기 시작할 수 있습니다.
담석 증상 6. 황달
담석 증상이 심한 경우에 담도의 차단으로 인해 담즙이 배출되지 못하면 황달이 발생할 수 있습니다. 황달은 피부와 눈결에 노란색 색소가 침착되는 증상입니다.
담석 증상 7. 등통 (등의 통증)
담석이 담도를 차단하면서 발생할 수 있습니다. 특히 담도가 확장되거나 염증이 발생할 때 등통이 나타날 수 있습니다.
그러면 위와 같은 담석 증상이 나타나는 원인은 무엇인지 담석 원인에 대해서 알아보도록 하겠습니다.




담석 원인
1. 담즙의 불균형
담석은 주로 담즙이 과도하게 농축되거나 담즙의 구성 요소가 불균형한 경우 형성됩니다. 담즙은 콜레스테롤, 담즙산, 담색소 및 세포 노화 물질로 구성되어 있는데, 이러한 성분들의 양이나 비율이 변화하면 담석이 발생할 수 있습니다.
2. 비만
비만은 콜레스테롤 담석의 주요 위험 요인 중 하나입니다. 비만은 콜레스테롤 수치가 증가하고 담낭의 기능이 변화하며, 이로 인해 담석이 형성될 수 있습니다.
3. 고지혈증
고지혈증은 혈중 콜레스테롤 수치가 높은 상태를 가리키며, 이는 콜레스테롤 담석의 위험 요인 중 하나입니다.
4. 담도의 이상
담도가 축수되거나 좁아지면 담석이 쉽게 형성될 수 있습니다. 담도의 이상은 선천적인 결함이나 염증, 감염 또는 외부 요인에 의해 발생할 수 있습니다.




5. 식습관
고지방 식품을 과다하게 섭취하거나 과도한 당분을 섭취하는 경우, 담즙의 농축이 증가하여 담석을 형성할 위험이 높아질 수 있습니다.
6. 여성 호르몬 치료 및 임신
여성 호르몬 치료나 임신은 담즙의 구성을 변경시키고, 이로 인해 콜레스테롤 담석이 발생할 위험이 증가할 수 있습니다.
7. 유전적 요인
가족력이 있는 경우 담석의 발생 위험이 증가할 수 있습니다.
이러한 담석 원인들은 담석의 형성을 촉진할 수 있으며, 이러한 위험 요인을 줄이는 것이 담석을 예방하는 데 중요합니다. 정기적인 운동, 건강한 식습관, 적절한 체중 유지 및 의사의 권장에 따른 약물 치료 등이 담석 예방에 도움이 될 수 있습니다.




담석증 치료방법
담석증 치료방법은 담석의 종류, 크기, 위치 및 환자의 상태에 따라 다양할 수 있습니다. 일반적으로 사용되는 치료 방법은 다음과 같습니다
1. 보존적 치료
작은 크기의 담석이 있는 경우, 증상이 없거나 관리 가능한 경우 의사는 보존적인 치료를 권장할 수 있습니다. 이는 약물 치료와 식이 요법을 포함할 수 있습니다. 콜레스테롤 담석의 경우, 콜레스테롤을 낮추는 약물이 사용될 수 있습니다. 또한, 담석을 형성하는 음식물 섭취를 제한하거나 특정 식품을 피하는 것이 권장될 수 있습니다.
2. 통증 관리
담석으로 인한 통증을 관리하기 위해 진통제나 항염증제가 사용될 수 있습니다. 이러한 약물은 통증을 완화하고 염증을 줄여서 증상을 완화하는 데 도움이 될 수 있습니다.
3. 내시경적 담석 제거
내시경적 담석 제거는 담도 내부로 내시경을 이용하여 담석을 제거하는 절차입니다. 이 절차는 담석이 담도를 차단하거나 감염을 유발할 때 특히 효과적일 수 있습니다.
4. 초음파 천자술
초음파 천자술은 외부에서 초음파를 이용하여 담석을 파쇄하는 비침습적인 절차입니다. 작은 조각으로 파쇄된 담석은 소변을 통해 체외로 배출됩니다.
5. 담낭 제거 수술
만약 담석이 반복되거나 심한 증상을 유발하는 경우, 담낭 제거 수술이 필요할 수 있습니다. 이는 담낭을 완전히 제거함으로써 담석 재발을 방지하고 증상을 완화하는 데 효과적일 수 있습니다.
담석증 치료방법은 개별적인 상황에 따라 달라질 수 있으며, 의사와 함께 적절한 치료 계획을 결정하는 것이 중요합니다. 또한, 담석을 치료한 후에도 정기적인 의료 관리와 건강한 생활 습관을 유지하는 것이 담석 재발을 방지하는 데 도움이 될 수 있습니다.
오늘은 담석 증상 원인 그리고 담석 치료방법에 대해서 알아보았습니다. 평소의 꾸준한 운동과 식습관 관리 등으로 건강을 유지해서 이러한 질병으로부터 안전하게 보호하시기를 바랍니다.
댓글