담낭암 증상 처음에는 증상이 거의 없어서 일상생활에서 알아차리는 것은 쉽지 않고, 건강 검진을 위해 병원을 찾았다가 발견되는 경우가 많은데요. 담낭암은 여러 암 중에서도 치료가 쉽지 않고 생존율 또한 높지 않은 것으로 알려져 있어서 소리 없이 나의 건강을 위협할 수 있는 암입니다.


오늘은 담낭암 증상과 담낭암 생존율 등에 관해서 정리해 드리도록 하겠습니다.
담낭암
담낭암은 말 그대로 담낭, 우리가 흔히 쓸개라고 부르는 곳에 생기는 암세포로 이루어져 있는 것을 말하는데요. 담낭은 간 아래쪽에 붙어있는 길이가 최대 10cm 정도 되는 신체의 한 부분으로 간외 담도와 연결되어 있습니다.
담즙은 간에서 만들어져 간내 담도와 담낭 간외 담도를 차례대로 거쳐서 십이지장으로 가게 됩니다. 담즙은 담즙산이 지방질을 유화해 소화와 흡수가 잘 되도록 하는 역할을 하고 있습니다.



담낭암 증상
담낭암 증상 초기에는 거의 없으며 말기까지 돼서야 건강검진 등으로 발견이 되는 경우가 많은데요. 주요 담낭암 증상은 다음과 같습니다.
담낭암 증상 1. 복부 통증
담낭암의 초기 단계에서는 종종 특별한 증상이 없을 수 있지만, 진행되면 복부의 우측 상부에서 통증이 발생할 수 있습니다.
담낭암 증상 2. 식욕 감소 및 체중 감소
암이 진행될수록 식욕이 감소하고 체중이 감소할 수 있습니다.
담낭암 증상 3. 구토와 메스꺼움
담도가 막혀 담이 제대로 흐르지 않을 때, 구토와 메스꺼움이 나타날 수 있습니다.
담낭암 증상 4. 황달
담도가 막혀 간에 담즙이 쌓일 때 황달이 발생할 수 있습니다. 이는 피부와 눈이 노랗게 변하는 증상입니다.
담낭암 증상 5. 발병 후 설사
담도의 막힘이나 담도 주위의 염증으로 인해 설사가 발생할 수 있습니다.
담낭암 증상 6. 혈액 중 빌리루빈 수치 증가
황달의 증상과 관련하여 혈액 검사에서 Bilirubin (빌리루빈) 수치가 높게 나타날 수 있습니다.
담낭암 증상 7. 배뇨 문제
담낭암이 담도에 압력을 가하면 배뇨에 문제가 생길 수 있습니다. 이러한 담낭암 증상들은 사실 일반적으로 다른 질환에서도 생길 수 있는 증상이기 때문에 대수롭지 않게 넘길 가능성이 많습니다.


그러다가 말기에 다가가서야 폐쇄성 황달 같은 증상이 뚜렷하게 나타나면서 정확한 진단을 얻게 되는데요. 담낭 주변에는 우리 몸의 중요한 장기인 위와 간 그리고 대장 등이 있기 때문에 이러한 장기로 전이될 수 있는 가망성이 많습니다. 전이되는 속도도 굉장히 빠르기 때문에 초기 대응이 굉장히 중요한 암 중에 하나라고 볼 수 있습니다.
담낭암 생존율
담낭암 생존율은 위에서 언급했듯이 다른 암들에 비해서도 높지 않은데요. 이는 담낭암 증상이 명확하지 않아서 건강검진을 통해서 우연하게 발견되는 경우가 많기 때문입니다. 다른 암들은 초기에 발견되면 어느 정도 치료가 가능하고 완치의 가능성이 높지만 담낭암은 초기에 발견된다 하더라도 생존율이 절반 정도밖에 되지 않기 때문에 평소에 건강 관리를 엄청 철저하게 하시는 것이 좋습니다.


담낭암은 비교적 드물게 발생하지만 발병률은 해가 갈수록 조금씩 증가하는 추세로 고연령군에서는 꽤 높은 비중으로 발생을 하고 있습니다. 담낭암은 주변 장기로 전이가 될 확률도 높아서 수술적 절제율도 낮은 편이고 예후도 나쁜 종양이라고 볼 수 있습니다.



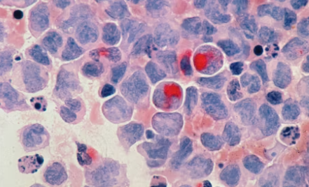
담낭암 진단
담낭암 진단 주요 방법은 복부 초음파 검사입니다. 복부 초음파 검사 이외에 복부 CT와 MRI 등의 방법이 있습니다. 복부 초음파와 CT의 경우에는 조기진단이 조금 어려운 반면 MRI의 경우에는 양성 종양과 암의 감별, 림프절 전이 감별 그리고 주변 조직으로 전이의 여부를 감별할 수 있습니다.
또한 내시경 초음파 검사도 있는데, 이는 조기에 담낭암을 발견할 수 있는 방법 중 하나입니다. 이 방법으로 작은 크기의 종앙을 감별할 수 있습니다.



담낭암에 좋은 음식
담낭암은 조기 발견도 어렵고 생존율도 낮기 때문에 평소의 식습관과 생활 습관이 굉장히 중요한데요. 담낭암에 좋은 음식은 어떠한 것이 있는지 살펴보겠습니다.
1. 고구마
고구마는 간이나 위에 부담이 적은 음식으로 소화도 굉장히 잘되는 음식으로 알려져 있습니다. 담낭은 간과 직접적으로 붙어있기 때문에 간에 부담이 적은 음식은 아무래도 도움이 될 텐데요.
고구마는 식이섬유가 풍부해서 위와 간에 부담을 줄여줄 수 있고, 장을 건강하게 해서 담낭의 건강에도 간접적으로 도움을 줄 수 있습니다.
또한 고구마는 탄수화물의 대표적 음식으로 체력을 향상하는 데에 도움을 주고 몸의 노화를 막는 음식 중 하나입니다. 그리고 미네랄과 각종 비타민이 높아 면역력 향상에도 도움이 됩니다.
2. 양배추
담낭암에 좋은 음식 다음으로는 양배추가 있습니다. 양배추 역시 식이섬유가 풍부하게 들어 있고 소화에 도움이 되는 음식이라서 간과 담낭에 부담을 줄여주고 스트레스 해소와 원기 회복에도 도움이 됩니다. 양배추 역시 미네랄과 비타민이 들어 있어서 암을 예방하는데 도움을 주는 대표적인 음식입니다.
3. 사과
담낭암에 좋은 음식 다음은 사과입니다. 아침에 먹는 사과는 금이라고 할 정도로 사과는 평상시 건강 관리에도 굉장히 도움을 많이 주는 음식입니다. 사과에는 섬유질과 칼륨 그리고 무기질 성분이 들어 있어서 담낭에 도움이 됩니다.
오늘은 담낭암 증상과 담낭암 생존율 그리고 담낭암에 좋은 음식 등에 대해서 알아보았습니다. 가장 좋은 예방법은 아무래도 정기적인 검진을 통한 이른 발견이라고 할 수 있겠습니다. 평소에 건강에 관심을 가지고 올바른 식생활과 생활 습관을 유지하시기를 바랍니다.
댓글